審美歯科
審美歯科では前歯を天然の歯のような色と形で美しく再現することが出来ます。奥歯も銀色の詰め物と違い、回りの歯の色と合っていますので大きく口を開けても治療のあとが目立ちません。また、オールセラミックを使って治療すると金属を使っていないので金属アレルギーの対策にもなります。
池袋歯科診療所・矯正歯科では専属の歯科技工士が常駐していますので、回りの歯の色と違和感なく仕上げる色合わせも安心です。
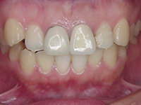
オールセラミッククラウン(ジルコニア)
ジルコニアのフレームにセラミックを焼き付ける事で、強度が高く天然歯のように透明感のある自然な歯に仕上げる事ができます。
また、臼歯部においてはジルコニアのみ(モノリシックジルコニア)の被せ物を用いる事により審美性は劣りますがより強い咬合力にも壊れにくく、費用も¥88,000に抑えて治療を行う事も可能です。
治療内容:上顎の前歯2本をオールセラミックのクラウンに交換
治療期間:1ヶ月
治療費:1本¥148,500(税込)
リスク・副作用:
・周囲の歯と色合いが異なる場合があります。
・強い衝撃により破損する可能性があります。
・衛生管理を怠ると、クラウンを入れた歯が虫歯や歯周病になる可能性があります。
ハイブリッドセラミックインレー
セラミックとレジンが混合された素材です。保険治療で使うプラスチック製のレジンよりも固く、白い色も自然な色に近くなります。
治療内容:下顎臼歯部のメタルインレーの再治療(4本治療)
治療期間:1ヶ月
治療費:1本につき¥38,500〜¥49,500(税込)※大きさによって異なります
リスク・副作用:
・歯ぎしりや食いしばりなどにより破損や離脱する可能性があります。
・周囲の歯と色合いが異なる場合があります。
・衛生管理を怠ると、インレーを入れた歯が虫歯や歯周病になる可能性があります。
セラミックインレー
奥歯の詰め物をセラミックの白い詰め物で行います。目立たないので笑ったり、大きく口を開けるときにも気になりません。
ラミネートべニア
前歯の表面を薄く削り、付け爪のようにセラミックで出来た板状のものを貼り付けます。前歯に少し隙間があるようなときや、薬の影響などで歯の色が変わってしまった場合に白い歯にするのに有効です。
治療内容:上顎の前歯6本をラミネートべニアで治療
治療期間:1ヶ月
治療費:1本¥121,000(税込)
リスク・副作用:
・周囲の歯と色合いが異なる場合があります。
・経年劣化や衝撃によりラミネートべニアの欠けや剥がれが起こる可能性があります。
・衛生管理を怠ると、ラミネートべニアで治療した歯が虫歯や歯周病になる可能性があります。
